Jonathan Tsang Jonathan Tsang

Oral Conscious Sedation

Are you anxious about your upcoming dental appointment? There are options available to help you relax or even take a little nap during your visit.  Oral conscious sedation is the option to take a pill before your appointment starts.  This pill is a medication called a benzodiazepine, more commonly known as a sleeping pill. 

Through the use of oral conscious sedation, you are able to slowly get rid of any fear or anxiety you have about coming to the dentist.  This helps you get rid of one more barrier between you and the healthy smile you want.

Read More
Jonathan Tsang Jonathan Tsang

They're Just Baby Teeth.

Whenever I hear a parent say these words it makes me cringe.  Just because the baby teeth will be falling out eventually doesn't mean they aren't important.  Baby teeth (primary or deciduous teeth) serve a great many functions for your child affect their oral health in many permanent ways.

Here are just a few of the reasons that baby teeth maybe more important than you think.  First, and most obviously, they help your child chew.  Proper nutrition is critically important to your child's growth and development.  Second, infections of primary teeth can cause permanent malformation or discolouration of the adult teeth.  Third, baby teeth help guide the adult teeth into place which can decrease the chances of your child needing braces later on in life.  

For these reasons, and many more, it is important that you help keep you child's teeth clean and healthy from the beginning.  A little help from you now can save a lot of problems for your children later.

 

Read More
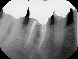
Jonathan Tsang Jonathan Tsang

A ROOT CANAL CAN SAVE YOUR TOOTH

Once upon a time, if you had a tooth with a diseased nerve, you'd probably lose that tooth. Today, with a special dental procedure called root canal therapy you have the option to save that tooth. Inside each tooth is the “pulp” which provides nutrients and nerves to the tooth, it runs like a thread down through the root of the tooth. When the pulp is diseased or injured, the pulp tissue dies. If you don't remove it, your tooth gets infected and can cause an abscess, resulting in potential loss of the tooth. After the pulp is removed, the root canal is cleaned and sealed off to protect it. Normally a crown is required to be placed over the tooth to help make it stronger and ensure that it lasts for years to come.

Most of the time, a root canal is a relatively simple procedure with little or no discomfort. Best of all, it can save your tooth and preserve your smile!

Read More